抗TFEB抗体anti-TFEBantibody源头厂家科研专用
抗TFEB抗体anti-TFEBantibody源头厂家科研专用
产品价格:¥1900.00(人民币)
  • 规格:完善
  • 发货地:湖北武汉市
  • 品牌:
  • 最小起订量:1
  • 免费会员
    会员级别:试用会员
    认证类型:企业认证
    企业证件:通过认证

    商铺名称:武汉菲恩生物科技有限公司

    联系人:王先生(先生)

    联系手机:

    固定电话:

    企业邮箱:3495998903@qq.com

    联系地址:武汉市江夏区高新大道818号高科医疗器械园B9栋

    邮编:430206

    联系我时,请说是在汽配名企网上看到的,谢谢!

    商品详情
      产品参数
      品牌菲恩生物
      适用范围仅供科研使用
      规格100μg
      加工定制
      验证应用ELISA
      WB
      IHC
      IF
      宿主
      适应种属人源,小鼠,大鼠
      研究领域新陈代谢
      可售卖地全国
      材质液体

        名称:抗tfeb抗体(anti-tfeb antibody)

        货号: fnab08627

        适应种属:人源,小鼠,大鼠

        规格:100ug(微克)

        状态:液体

        纯化方法:免疫亲和纯化

        纯度:经dsd-page分析,纯度大于95

        宿主:兔

        亚型:igg

        存储:用添加了0.02叠氮化钠和50甘油的pbs溶解,ph值7.3,可在-20℃下保存12个月(避免反复冻融)

        免疫原:tranion factor eb

        免疫原别称:alphatfeb, bhlhe35, tcfeb, tfeb, tranion factor eb

        分子量:65-70kd

        验证应用:elisa, wb, ihc, if

        建议稀释比例:wb: 1:500-1:2000; ihc: 1:50-1:200; if: 1:20-1:200

        uniprot id:p19484

        克隆性:多克隆

        背景介绍:tfeb尤其识别及与e-box序列结合,与自身或另一mit/tfe家族成员二聚化。在对活化的cd4 t细胞的t细胞依赖性抗体反应和与tfe3相关的胸腺依赖性体液免疫中起作用。也通过与调控区的clear-box序列结合激活溶酶体基因。参与为胎盘正常血管化所需的信号转导过程。这是种针对人tfeb全长的兔多抗。计算出的tfeb分子量为53 kda,而修改的tfeb大约65-70kda。

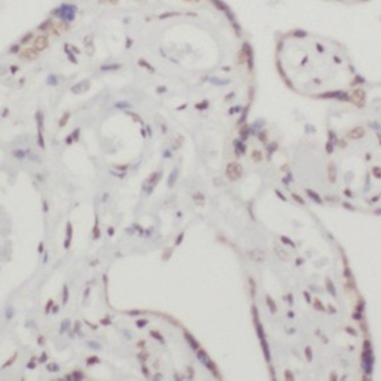
        图像:

        将fnab08627(tfeb抗体)以1:100稀释度,使用石蜡包埋的人胎盘组织切片进行免疫组织化学实验。

        将fnab08627(tfeb抗体)以1:100稀释度,使用海拉细胞进行免疫荧光实验分析。

        将fnab08627(tfeb抗体)以1:1000稀释度,使用jurkat细胞进行sds-page凝胶电泳蛋白印记实验。

    0571-87774297