抗ProGRP抗体anti-ProGRPantibody源头厂家科研专用
抗ProGRP抗体anti-ProGRPantibody源头厂家科研专用
产品价格:¥2100.00(人民币)
  • 规格:完善
  • 发货地:湖北武汉市
  • 品牌:
  • 最小起订量:1
  • 免费会员
    会员级别:试用会员
    认证类型:企业认证
    企业证件:通过认证

    商铺名称:武汉菲恩生物科技有限公司

    联系人:王先生(先生)

    联系手机:

    固定电话:

    企业邮箱:3495998903@qq.com

    联系地址:武汉市江夏区高新大道818号高科医疗器械园B9栋

    邮编:430206

    联系我时,请说是在汽配名企网上看到的,谢谢!

    商品详情
      产品参数
      品牌菲恩生物
      适用范围仅供科研使用
      规格100μg
      加工定制
      验证应用ELISA
      WB
      IHC
      宿主
      适应种属人源
      可售卖地全国
      材质液体

        名称:抗ProGRP抗体(anti-ProGRP antibody)

        货号: FNab06798

        适应种属:人源

        规格:100ug(微克)

        状态:液体

        纯化方法:免疫亲和纯化

        纯度:经DSD-PAGE分析,纯度大于95

        宿主:兔

        亚型:IgG

        存储:用添加了0.02叠氮化钠和50甘油的PBS溶解,PH值7.3,可在-20℃下保存12个月(避免反复冻融)

        免疫原:gastrin-releasing peptide

        免疫原别称:BN, gastrin releasing peptide, GRP, GRP 10, preproGRP, proGRP

        分子量:16kd,32kd

        验证应用:ELISA, WB, IHC

        建议稀释比例:WB: 1:500-1:2000; IHC: 1:20-1:200; IF: 1:20-1:200

        UNIPROT ID:P07492

        克隆性:多克隆

        背景介绍:胃泌素释放肽(亦称为GRP)通常由胃窦中的粘膜细胞及胰岛中的D细胞形成,其主要作用是通过胃粘膜刺激HCl的分泌。HCl继而抑制胃泌素的形成。信号肽裂解后,148氨基酸前蛋白进而产生27氨基酸胃泌素释放肽或10氨基酸神经介质。这些小肽调节胃肠和中枢神经系统的多种功能,包括胃肠激素释放,平滑肌细胞收缩,上皮细胞增殖。这些肽也可能在人cancer中起作用(肺、结肠、胃、胰腺、乳房和前列腺癌)。

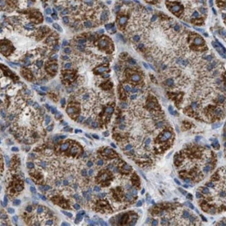
        图像:

        将FNab06798(proGRP抗体)以1:50稀释度,使用石蜡包埋的人胃组织切片进行免疫组织化学实验。

        将FNab06798(proGRP抗体)以1:1000稀释度, 使用PC-3细胞进行SDS-PAGE凝胶电泳蛋白印记实验。

    0571-87774297