商铺名称:武汉菲恩生物科技有限公司
联系人:王先生(先生)
联系手机:
固定电话:
企业邮箱:3495998903@qq.com
联系地址:武汉市江夏区高新大道818号高科医疗器械园B9栋
邮编:430206
联系我时,请说是在汽配名企网上看到的,谢谢!
产品参数 | |||
---|---|---|---|
品牌 | 菲恩生物 | ||
适用范围 | 仅供科研使用 | ||
规格 | 100μg | ||
加工定制 | 否 | ||
验证应用 | ELISA | ||
WB | |||
IHC | |||
宿主 | 兔 | ||
适应种属 | 人源,小鼠,大鼠 | ||
可售卖地 | 全国 | ||
材质 | 液体 |
名称:抗TMEM5抗体(anti- TMEM5 antibody)
货号:FNab08783
适应种属:人源,小鼠,大鼠
规格:100ug(微克)
状态:液体
纯化方法:免疫亲和纯化
纯度:经sds-page分析,纯度大于95
宿主:兔
亚型:igg
存储:用添加了0.02叠氮化钠和50甘油的pbs溶解,ph值7.3,可在-20℃下保存12个月(避免反复冻融)
免疫原:transmembrane protein 5
验证应用:45-51 kDa
建议稀释比例:ELISA, WB, IHC
建议稀释比例:WB: 1:500-1:2000; IHC: 1:20-1:200
克隆性:多克隆
uniprot id:Q9Y2B1
背景介绍:Involved in the biosynthesis of the phosphorylated O-mannosyl trisaccharide(N-acetylgalactosamine-beta-3-N-acetylglucosamine-beta-4-(phosphate-6-)mannose), a carbohydrate structure present in alpha-dystroglycan(DAG1), which is required for binding laminin G-like domain-containing extracellular proteins with high affinity。
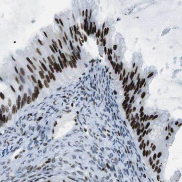
图像:
Immunohistochemistry of paraffin-embedded human ovary tumor tissue slide using FNab08783(TMEM5 Antibody) at dilution of 1:50。
mouse ovary tissue were subjected to SDS PAGE followed by western blot with FNab08783(TMEM5 Antibody) at dilution of 1:300。